other
소식
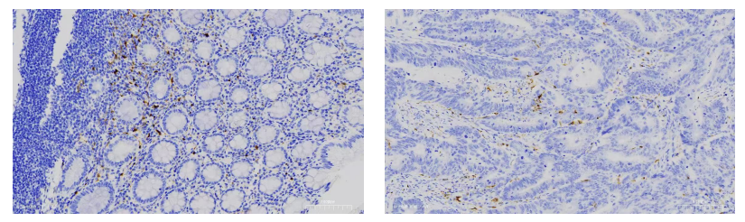
Introducing Our New Anti-IL-6 Antibody for IHC --- See IL-6 at the Cellular Level 2026-03-24

Tired of only seeing IL-6 in blood tests? Our new antibody lets you visualize exactly which cells produce IL-6 directly in tissue sections.


Key Applications

· Castleman Disease Differentiates subtypes (plasma cell vs. hyaline vascular) by showing IL-6 in plasma cells and/or endothelial cells

· Tumor Research Identifies IL-6-producing cells in cancer microenvironment—correlates with aggressive disease

· Inflammatory Diseases Maps local IL-6 activity in colitis, arthritis, and psoriasis tissues

· Animal Models Validates IL-6 induction in LPS-treated or infected tissues

Why Choose Our Antibody

· Works on paraffin sections

· Clean staining—minimal background

· High sensitivity

· Short lead time



메시지를 남겨주세요

메시지를 남겨주세요
우리 제품에 관심이 있고 자세한 내용을 알고 싶다면 여기에 메시지를 남겨주세요. 최대한 빨리 회신해 드리겠습니다.

제품

~에 대한

연락하다